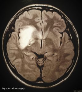
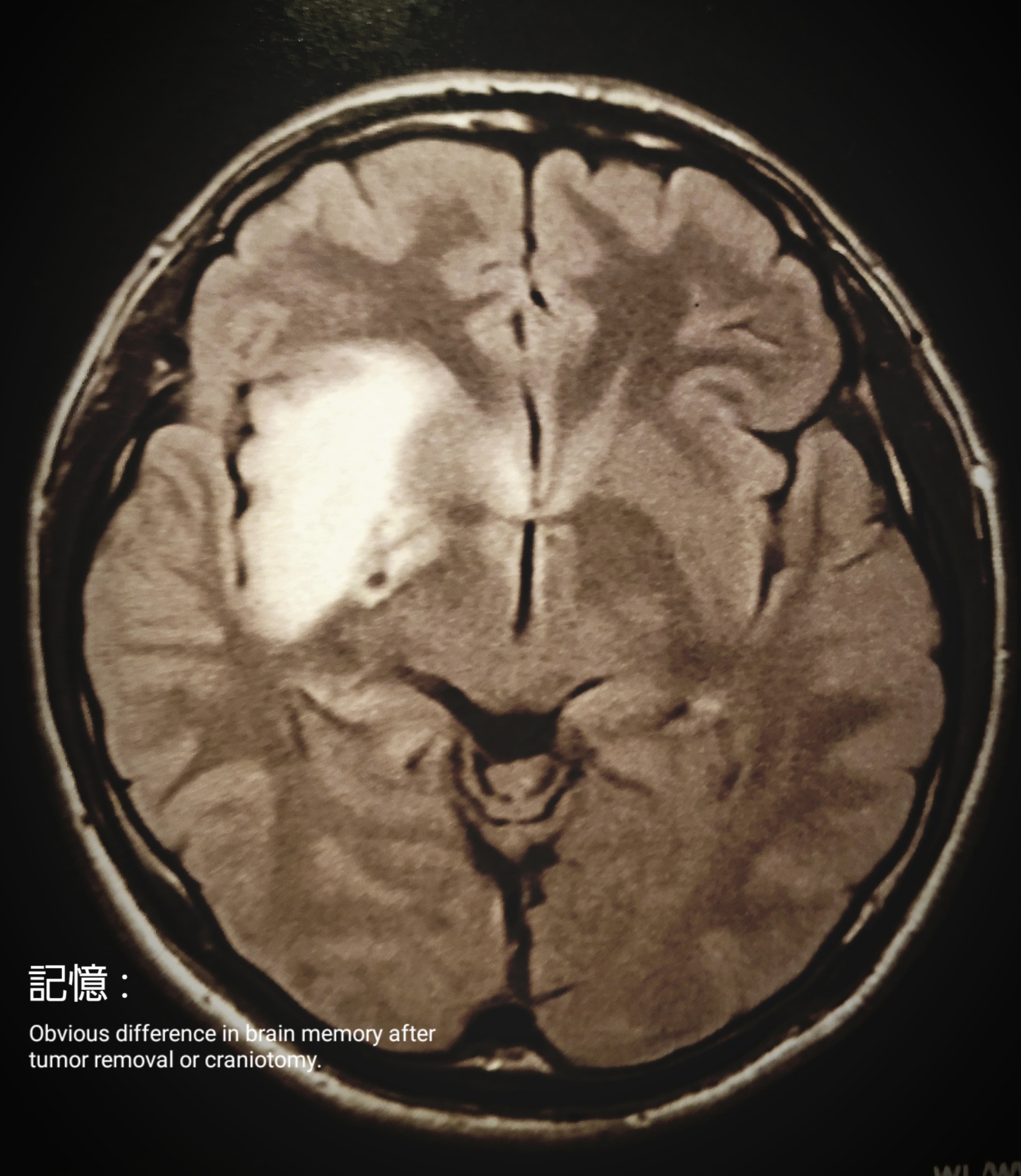
記憶 : 腫瘍摘出、開頭手術後あからさまに感じる脳の記憶力の違い……
記憶 : Obvious difference in brain memory after tumor removal or craniotomy……
こんばんは、こんにちは、おはようございます
新しい一週間も明けましておめでとうございます……
先週から少し冷たさも和らいだ日々が続いていましたが
また今日は風と共に冷たさも戻ってくるようで、朝の神社は風が冷たく
手水舎の竜神様から流れる水は指先が凍りそうな程冷たかったです
みなさんこの冷たい空気と流行りの感染症に
お身体崩されませんようお気をつけください大切になさってください……
弟の病院での一般者面会時間は30→15分に短くなるほど、院内での感染症が増えているようです……
僕は月末のダンス発表会に向け週末は子供達と共に慌ただしいけどあたたかな時間を感じています
日々弟と向き合う中で自分の身体の事も忘れがちですが
一月に一回のお薬を処方してもらう為の脳神経外科クリニック受診で
自分も闘病中だと言うことに気づかされます
昨日月曜日も月に一度の受診の日、朝早い為神社へ行くのも早くなり、まだ薄暗い早朝にお祈りに行くとまだ本殿の灯りが灯った状態でした
しかし僕の処方していただいているお薬も昨年12月末にジェネリックが承認され
今月からはジェネリックになり高額だったお薬も少し抑えられました……
日々当たり前じゃない全ての事に精一杯生きていかねばならない日々ですが
小さなあたたかな事や目に写る事に触れ現実感の無い今でもあたたかく生きております
最近偶然にも月9のドラマ「ヤンドク」では脳神経外科医のお話で昨夜も脳腫瘍のお話し
登場人物は良性脳腫瘍でしたが
自分は悪性脳腫瘍神経膠腫
お話の中で飛び交うセリフや
症状、自分も体験したことなのでよくわかったり……
何だか不思議なタイミングでのドラマですが
そういう事ってありますね……
先生方によって救われた命、みなさんのあたたかな声に支えられた命、延命されもらった時間大切に紡ぎ生きて行かねばです
弟も共に……
記憶
元々自分は振り憶え等良い方ではないですが
そういった中で不思議には思っていなかったのですが……
最近あからさまに感じた事
いくらやってもいくら暇さえあれば確認し
振りを頭に入れようとしても身体に憶えさせようとしても、右から左へ抜けていくように全く憶えられません
これまでだったら身体と共に頭に入っていた振りが全く入りません
リハビリの先生からもそういった事が起こるとは聞いていましたが
元々の感覚もありあまり気にしていませんでしたが
発表会に向けた日々の中感じた頭の中の記憶の部分での違和感
脳みそは不思議です……
身体の全てをコントロールする脳みそ
血液を送る心臓と共に人間の大切な部分
だから大切にしないと
みなさんもお身体大切に
違和感を感じたらすぐに診てもらいに行ってください……
お前が言うなや!ですが……
これから生きていくなかでこれまでの状態と曖昧で気づかなかった一つ一つの違和感にこうして気づかされるのかもしれませんが
そんなこと生きているのだからこれまでよりも倍、何倍も今と向き合い頭と身体に入れていくだけです
しかしそれとは別に集中力はこれまでよりも倍になった気もするけど
お薬のせいで疲れやすいと言うこともあったり
最近気づけばソファーで気を失うように眠っていたり
いつ寝たのか記憶がなかったり
不思議ですが
不思議な脳みそと日々闘い、今をこれからを身体をめいいっぱい使い、頭をめいいっぱい使い描き執筆し動き弟に寄り添い、足の不自由な母に、治療した差し歯がすぐ抜ける父(笑)に寄り添い家族と共に仲間と共にもらった時間に脳みそにあたたかな記憶を詰め込んで生きます。
俺負けないんで。四露死苦なんちゃって……
今週もジグザグ空気の忙しい日々と思いますが
あたたかな記憶をめいいっぱい脳みそに詰め込んで

心あたたかな日々時間にしてください……
今週も心に優しい風感じる日々で時間でありますように……
今も今週も明日も明後日も
生きよう。
髙橋 昭博
Memory : Obvious difference in brain memory after tumor removal or craniotomy……
Good evening, hello, good morning
Happy new week…
Since last week, the days have been a little less cold.
Also, the coldness seems to be returning with the wind today, and the wind was cold at the shrine in the morning.
The water flowing from the Ryujin at the Chozuya was so cold that it almost froze my fingertips.
Everyone, this cold air and popular infectious diseases
Please be careful not to let your body deteriorate.Please take good care of yourself…
As the visitation time for the general public at my brother’s hospital has been shortened from 30 minutes to 15 minutes, the number of infections in the hospital seems to be increasing…
I am busy with my children on the weekends as we prepare for the dance recital at the end of the month, but I feel the time is warm.
While dealing with my younger brother every day, I tend to forget about my own body.
At a neurosurgical clinic visit to receive medication once a month.
It makes me realize that I am also battling an illness.
Yesterday, Monday, was the day of my monthly medical visit, and since I had an early morning, I had to go to the shrine early, and when I went to pray in the early morning when it was still dark, the lights in the main shrine were still on.
However, the generic version of the medicine I was prescribed was approved at the end of December last year.
Starting this month, the medicines that used to be expensive have become generic and now cost a little less…
Every day, I have to live my life to the fullest despite all the things that are not taken for granted.
Even now, when there is no sense of reality, I am still living warmly by touching small warm things and things that appear in my eyes.
Coincidentally, the drama “Yandeok” on Monday, September 9, featured a story about a neurosurgeon, and last night it also featured a story about brain tumors.
The character had a benign brain tumor.
I have malignant brain tumor glioma.
Lines that fly around in the story
I understand the symptoms well because I have experienced them myself…
It’s a drama that comes at a strange time.
That kind of thing does happen…
We must cherish the lives saved by our teachers, the lives supported by your warm voices, and the time our lives were extended.
Along with my younger brother…
memory
I’ve never been a good person with a good memory, but
I didn’t think it was strange, but…
What I’ve felt so clearly lately
No matter how much you try, if you have free time, check it.
No matter how much I try to get the swing into my head or make my body remember it, I can’t remember it at all, as if it goes from right to left.
The pretension that used to be in my head along with my body doesn’t go in at all.
I had heard from my rehabilitation teacher that this kind of thing happens.
I didn’t really worry about it because of my previous feelings.
A feeling of discomfort in the memory part of my head that I felt during the days leading up to the presentation.
The brain is mysterious…
The brain controls everything in the body
An important part of the human body, along with the heart that pumps blood.
That’s why you have to cherish it
Everyone please take care of yourselves
If you feel any discomfort, please go see a doctor immediately…
You shouldn’t say that! But…
As I live my life from now on, I may become aware of each and every discomfort that I didn’t notice because it was vague and different from my previous state.
That’s how I live my life, so I just have to face the present twice as much as before and put it into my mind and body.
But aside from that, I feel like my ability to concentrate has doubled compared to before.
Sometimes people say they get tired easily because of the medication.
Recently, I noticed that I was falling asleep on the sofa as if I was passing out.
I don’t remember when I went to sleep
It’s strange though
I struggle with my mysterious brain every day, and from now on, I will use all my body and mind to draw, write, move, and be close to my younger brother, my mother who is crippled, and my father (lol) whose treated false teeth are falling out easily, and I will live my life filling my brain with warm memories from the time I have with my family and friends.
I’m not going to lose. It’s going to be a pain to the death…
I think this week will also be a busy day with a zigzag atmosphere.
Fill your brain with warm memories

Please spend your days with a warm heart…
I hope this week is also a time when you can feel the gentle wind in your heart…
Now, this week, tomorrow, and the day after tomorrow
Let’s live.
Akihiro Takahashi
●お声届けてくださりありがとうございます【お返事】
きなこさん
新しい一週間明けましておめでとうございます……
伊勢神宮お祈りありがとうございます!沢山の神秘的なパワーを感じた伊勢神宮
日々感染症と闘う伸輔にもそんなパワーが届きますように……
今週も猫たちの鳴き声が姿は見えずとも周りで響いてきます
まだ決着はついていないのか猫たちのロミオとジュリエットは続いているようです……
きなこさん今年もハンター猫ちゃん達に癒されあたたかな日々で時間でありますように……
自転車のタイヤは今週も頑張ってくれています……
今年も僕らの活動楽しみにしていてください!
新しい一週間も優しい風感じる日々時間でありますように……
香川のかよさん
先ずはあたたかなお手紙贈り物、ちゃんと受け取りました
お礼も出来ず申し訳ありませんでした……
弟夫婦・家族で、1月1日伸輔にも届け握らせてあげました……
病院でしたが一緒に新年を祝うことが出来ました!本当にありがとうございました!
こちらから出失礼しました……
そして新しい一週間明けましておめでとうございます……
本当そんな事あるな風のいたずら、違う奇跡を感じたいものです……
確かにマグカップの底抜け事件ありましたね!そして自転車のペダル根元から折れる事件
いろんな事件が起こってしまうのは不思議ですが、笑える事件でまだよかったです……
昨年一番のそんな事あるは、入院直前の自転車事故、額、瞼14針縫う羽目になった入院前に一足先に自分で頭割った事件ですが
出来れば笑える事件が嬉しいですね……
忙しいかよさんも、笑顔あふれる2026年でありますように……
今年も一年よろしくお願いいたします
お体大切に今年も今週も今日も心あたたかく優しい風感じる日々時間でありますように……




コメント